Четыре правила мануальной терапии
Мануальная терапия имеет свои плюсы. Мягкое вытяжение позвоночника помогает разгрузить межпозвоночные диски. Давление на них уменьшается, а значит, устраняется сила, которая выталкивает ядро диска наружу.
Если при этом удается увеличить высоту зазора между позвонками, их отростки расходятся, высвобождая защемленные нервные корешки. Этим объясняется быстрое облегчение боли.
Кроме того, мануальная терапия при грыже помогает устранить сдавление сосудов, восстановить кровообращение и ускорить восстановление дисков. Такой метод лечения требует от врача высокой квалификации, опыта, даже таланта. Это первое правило.
Второе обязательное правило – спинные мышцы должны быть предварительно проработаны массажем. Это необходимо, чтобы убрать тугоподвижность, зажатость позвоночника. Обычного массажа для этого недостаточно, требуется более интенсивная массажная техника, чтобы проработать глубокие мышцы, а не только поверхностный гипертонус. Такой результат дает тибетский точечный массаж.
И все же, при всей неоднозначности применения мануальной терапии при грыжах позвоночника, она имеет вполне определенные показания. Ее применение оправдано при наличии смещений межпозвоночных суставов.
Лечение боли в спине
Чаще всего пациенты не знают, к какому врачу обращаться. Комплексным лечением болей в спине занимается невролог. Именно к нему нужно обращаться при проблемах с позвоночником. Однако до приезда специалиста или визита к нему нужно оказать первую помощь при боли в спине.
Как облегчить или снять боль в домашних условиях?
Самое главное – расслабиться. Для этого нужно лечь на живот на твердую и ровную поверхность. Лучше всего – на пол. Через несколько минут надо аккуратно перевернуться на спину и поднять ноги, зафиксировав их так, чтобы бедра были под углом 90 градусов. Так вы снимите нагрузку с позвоночника.
Можно использовать противовоспалительные средства в виде мазей и кремов. После снятия болевого синдрома надо аккуратно подняться и зафиксировать болевший участок, например, перевязав шарфом или полотенцем.
Чем обезболить, если нет обезболивающих?
Снять сильную боль можно таким простым средством, как холодный компресс. Он не даст полного избавления, но облегчит состояние. Это может быть продукт из морозилки, пакет со льдом и др. Также помощь при боли можно оказать путем прикладывания греющего компресса или грелки
Только важно не перегревать больное место
Что еще помогает?
Снять дискомфорт поможет легкая физическая нагрузка, направленная на разминание мышц, усиление кровообращения. Это может быть неторопливая прогулка, упражнения на растяжение мышц.
Медицина против боли: методы врачебного вмешательства
В первую очередь устанавливается заболевание, вызвавшее боль, и начинается его лечение. Попутно для снятия дискомфорта, лечения хронической боли применяются лекарственные средства:
- анальгетики, НПВС, в редких случаях – наркотические обезболивающие;
- витамины группы В;
- миорелаксанты.
Человеку прописывается постельный режим, ношение фиксирующего корсета (например, при невралгии).
Важным этапом лечения является физиотерапия. Ее основные методики:
- электрофорез с лекарствами;
- фонофорез;
- лазерная терапия;
- магнитная терапия.
Также проводится рефлексотерапия:
- электронейростимуляция;
- приемы акупунктуры.
Эффективны при болях в спине массаж, остеопатия, мануальная терапия, ЛФК. Эти методики применяются, когда болезненность вызвана заболеваниями мышц и позвоночника, в ходе реабилитации после травм.
Что можно и нужно делать при остеохондрозе, чтобы повысить качество жизни и успешно бороться с данной патологией?
Людям, страдающим этим заболеванием, весьма полезны и рекомендуются специалистами такие процедуры и занятия:
Посещение бани (сауны). Минимизация проявлений остеохондроза происходит благодаря глубокому прогреванию мышц и суставов и внешнему воздействию на них, запуску в организме позитивных физиологических процессов. Это приводит к уменьшению напряженности, отечности и болей в области позвоночника. Непрерывно пребывать в парилке можно до десяти минут, промежутки между сеансами должны длиться по 10-20 мин. Банный веник следует задействовать после того, как тело хорошо разогреется. Помните, что любые алкогольные напитки в бане чрезвычайно опасны. Лучше пить зеленый или травяной чай. В дни обострения остеохондроза посещение сауны или бани не рекомендуется. Лечебный массаж. Его следует производить после купирования болевого синдрома, когда манипуляции, прикосновения и движения не вызывают неприятных ощущений. Либо терапевтический массаж производится при усугублении проявлений остеохондроза, но тогда воздействие направляется не на патологическую зону, а на расположенную рядом здоровую, что уменьшает болевые ощущения
Первые сеансы лечебного массажа в период обострения заболевания проводят очень осторожно, не вызывая напряжения мышц пациента. Плавание, активные (но не силовые) игры, спортивная ходьба, бег (но не спуск) на лыжах
Эти занятия развивают равномерно и без перенапряжения практически все группы мускулов и улучшают состояние суставов и позвоночника. Однако практиковать их нужно, не допуская переохлаждения и при отсутствии сильных болей. Хатха-йога. Некоторые ее асаны направлены на укрепление мышц спины, снижение напряжения между позвонками, стимулирование кровоснабжения, повышение эластичности и подвижности связок и сухожилий. Такие положения тела могут блокировать развитие остеохондроза или его возврат, а также способны отчасти исправить осанку. Специальные упражнения, производимые по передовым методикам, направленные на развитие опорно-двигательного аппарата, профилактику или преодоление его патологий.
Такие упражнения ликвидируют или уменьшают последствия остеохондроза, сколиоза, гоноартрита, коксартроза, ишиаса, кифоза, эпиконделита. Также специальный комплекс упражнений позволяет произвести успешное лечение межпозвоночной грыжи без проведения операции. Вышеперечисленные процедуры и занятия можно практиковать только по назначению вашего лечащего врача после постановки точного диагноза.
Страдающим остеохондрозом необходимо правильно и полноценно питаться
Крайне важно получать необходимое количество протеина, для чего следует употреблять яйца, нежирное мясо птицы, телятину, ягнятину, рыбу, сыр и творог. Также нужно получать полноценные белки растительного происхождения, которых много в грибах, бобовых (особенно в сое), орехах, семенах, крупах, баклажанах
Необходимо достаточное поступление в организм таких витаминов и элементов: А, С, D и группы В, кальция, магния, фосфора, марганца. Стоит минимизировать употребление сладостей, солений, маринадов, копченостей, полуфабрикатов и выпечки. При остеохондрозе непременно следует каждый день употреблять не подвергнутые термической обработке овощи и фрукты, регулярно пить свежеприготовленные соки. Нужно часто есть салаты из капусты, моркови, свеклы, зелени и листовых овощей, заправленные высококачественным подсолнечным или оливковым маслом. Принимать пищу лучше четыре-пять раз в день небольшими порциями, не переедая. Следует выпивать не менее двух литров воды в сутки.
История излечения Ирины от грыжи диска
Ирину беспокоили круглосуточные боли в пояснице. Ночью боль на давала ей спать, а днем боль в пояснице и в ноге усиливались при ходьбе. Боли в спине не давали сидеть и «ударяли» в ногу при подъеме со стула. Боль вызывал кашель и чихание – болели левая нога и левая ягодица. Кстати, боль в ноге и боль в ягодице – это чаще характерный признак радикулита (сдавливания корешка в позвоночнике). Круглосуточные боли в спине и ноге при грыже диска чаще интенсивные и носят изматывающий характер. Человек с грыжей не спит ночами и не отдыхает днем. Мечтая уйти от этой боли, человек согласен на все. В том числе – на операцию.
Но, как показывает многолетняя практика, грыжу диска можно уменьшить в размере и даже полностью вылечить без операции.
Глядя в историю болезни Ирины, могу сказать, что ситуация была не простой. Боль в спине ее беспокоила 8 лет. А невыносимые боли в ноге присоединились 3 месяца назад.
Были дополнительные факторы, которые не давали лечащим врачам снять эту боль в спине и боль в ноге медикаментами. Список медикаментов впечатлил даже меня. Их она принимала в очень большом количестве и долго. Массаж вызывал обострение. Попытки «вправить» диск мануальной терапией тоже не увенчались успехом и вызвали обострение. Одним словом – кроме операции, на чем настаивали хирурги, иного пути Ирина уже и не видела. Клиника «Меддиагностика» была последней ее попыткой, на чем настояла мама.
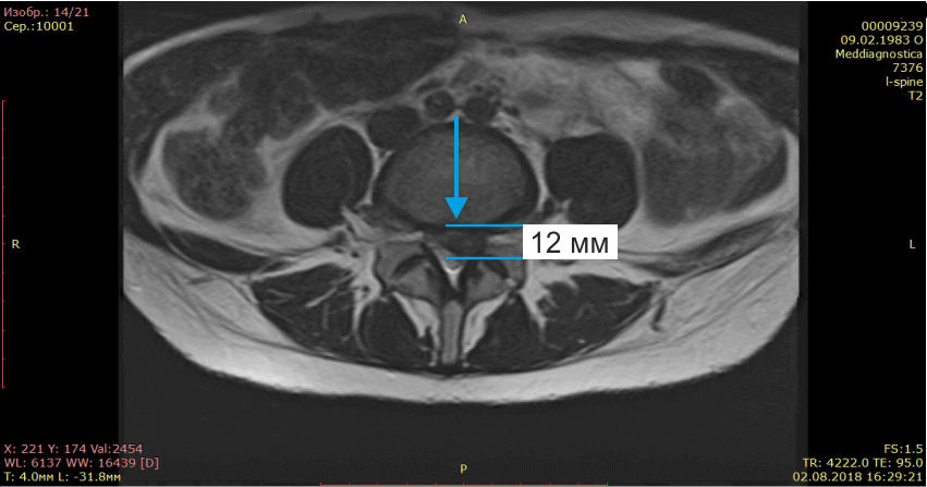
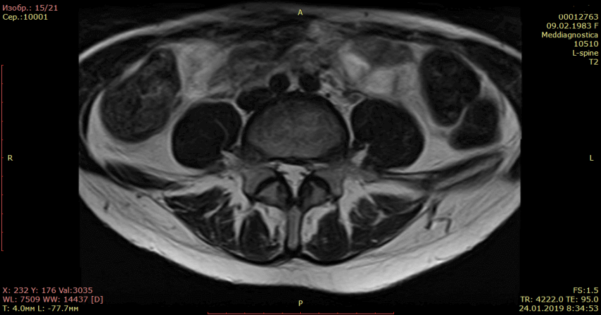
Осмотрели Ирину неврологически и ортопедически, исследовали позвоночник на МРТ и рентгене. Оказалось, что у нее очень большая левосторонняя грыжа размером 12 мм.

На МРТ показано излечение грыжи диска (до- и после лечения).


После первого же приема удалось выраженно уменьшить боль. Ночь Ирина уже спала. Дневные боли у значительно уменьшились уже через несколько дней. Возможность спать без боли – это тоже не мало.
Прошло 2 недели. Ирину практически ничего не беспокоило. Но, ногу поднять в полном объеме она еще не могла. Сохранялся т.н. симптом Ласега (боль в спине и ноге, когда пациент лежит на спине, а врач поднимает ногу). Это говорило о том, что грыжа еще сдавливает корешок.
ЛФК
Лечебная физкультура (ЛФК) при грыже позвоночника – это уникальный метод лечения, позволяющий полностью восстановить здоровье пациента. Но ждать моментального эффекта не стоит, для восстановления потребуется время и регулярные занятия.
ЛФК помогает быстрее избавиться от грыжи
В чем польза лечебной гимнастики
Правильные, подобранные врачом индивидуально для каждого больного комплексы лечебной гимнастики способствуют:
- улучшению кровообращения и питания тканей, в том числе, мышц и связок, поддерживающих позвоночник;
- восстановлению объема и силы мышц спины;
- выработке питательных веществ, необходимых для обмена хрящевой ткани дисков; этому способствует напряжение и расслабление мышц;
- постепенному рассасыванию грыжевых выпячиваний и отделившихся сегментов;
- восстановлению функции межпозвоночных дисков.
Какие упражнения выбрать
На любом этапе лечения упражнения подбирает врач, а начинать делать их лучше под наблюдением инструктора ЛФК и только после полного освоения упражнений их можно делать в домашних условиях, соблюдая следующие правила:
- регулярное выполнение с постепенно наращиваемой нагрузкой;
- все движения должны быть плавными, медленными;
- следует следить за состоянием (болями, одышкой и т.д.) во время выполнения упражнений; при появлении неприятных ощущений выполнение нужно прекратить или снизить нагрузку;
- после занятий тело должно наполняться бодростью; при появлении усталости нужно снизить нагрузку.
Что делать нельзя
Людям, страдающим грыжей позвоночника нельзя:
- бегать, прыгать, поднимать тяжести, выполнять любые резкие движения;
- подтягиваться на перекладине;
- заниматься конным и велоспортом;
- подолгу водить автомобиль.
Какие упражнения можно делать при болях
Даже в стадии обострения в состав комплексного лечения можно включать определенные упражнения, которые принесут облегчение. Такие упражнения сочетают в себе полное расслабление мышц позвоночника и напряжение мышц незаинтересованных участков тела:
- лечь на спину на твердую поверхность; сделать глубокий вдох, задержать дыхание до счета 5, затем сделать медленны длинный выдох, одновременно расслабляя мышцы всего тела;
- все тело расслаблено, работают только кисти рук: с силой сжимать и разжимать кулаки 5 – 10 раз;
- все тело расслаблено, работают стопы ног: они выпрямляются по ходу тела, носки вытягиваются, вместе с ними тянется позвоночник; расслабиться и повторить 5 раз.
При значительном болевом синдроме особенно важно, чтобы такие упражнения подбирал врач. При правильном подборе пациенты постепенно избавляются от болевых ощущений.
Упражнения для дома
Ежедневная физическая нагрузка должна включать:
- комплекс упражнений, подобранных врачом;
- утренняя гимнастика (5 – 10 минут);
- потягивания и дыхательная гимнастика каждые 2 часа;
- неторопливая пешая прогулка перед сном (15 -30 минут).
Кроме того, рекомендуется несколько раз в неделю заниматься плаванием
Упражнения на турнике
На турнике можно выполнять только вис на перекладине, не отжимаясь. Это упражнение можно включать в состав комплексного лечения только после разрешения врача, так как иногда даже без отжимания оно приводит к болезненному спазму мышц.
Упражнения на мяче
Упражнения на специальном мяче (фитболе) можно проводить только в состоянии ремиссии, после консультации врача и выполнения упражнений под контролем инструктора ЛФК
Важно правильно, по росту, выбрать мяч, для этого на него нужно сесть. Ноги в коленях должны быть согнуты под прямым углом, а стопы твердо стоять на полу
Подбор упражнений зависит от вида и локализации грыжи. При появлении болезненности тренировку нужно прервать.
Упражнения на специальном мяче можно выполнять и дома, и в спортзале
Повседневная зарядка
Ежедневная зарядка должна продолжаться 5 – 10 минут. Сначала все упражнения делаются лежа на спине, полностью снимая нагрузку на позвоночник. Если нет боли и усталости, в комплекс можно включать упражнений на животе. Следующий этап – включение упражнений, выполняемых на четвереньках, а потом еще и сидя.
При этом постепенно увеличивается число подходов с 5 до 10.
Выполнять упражнения в положении стоя не рекомендуется из-за высокой нагрузки на позвоночник.
Йога
Упражнения йоги выполняются плавно, поэтому всегда принесут пользу при грыже позвоночника. Не стоит начинать выполнять их самостоятельно, нужно сначала посоветоваться с врачом, а потом попросить инструктора по йоге подобрать упражнения, наиболее подходящие для вашего заболевания и научиться их правильно выполнять. После этого можно переходить к выполнению упражнений йоги дома.
Поясничный отдел позвоночника и механизм формирования грыжи
Поясничный отдел позвоночника включает 5 позвонков, по размеру
существенно превосходящие шейные и грудные позвонки. Между ними располагаются
межпозвонковые диски также довольно крупной величины.
Сами межпозвонковые диски представляют собой
фиброзно-хрящевое образование, компонентами которого являются волокнистое
фиброзное кольцо (наружная оболочка) и пульпозное ядро (внутреннее студенистое
содержимое). Они призваны смягчать удары при ходьбе и придают позвоночнику
гибкость, а человеку возможность совершать самые разнообразные движения.
Пульпозное ядро на 80% состоит из воды и лишь на 15% из
коллагеновых волокон. При создании условий для приложения повышенной нагрузки
на поясницу (продолжительное сидение, подъем тяжелых грузов и т. д.) в нем
происходят дегенеративно-дистрофические процессы, приводящие к обезвоживанию и
истончению. В результате позвонки сближаются, что не может не провоцировать
возникновения болевого синдрома.
Поскольку на диск приходится большая нагрузка повышается и
давление внутри него. Пульпозное ядро начинает давить на кольцеобразные волокна
фиброзной оболочки. Поскольку в результате происходящих изменений они
становятся не такими эластичными, волокна травмируются, в них образовываются
микроскопические разрывы. Если отрицательно действующий фактор не устранить,
постепенно пульпозное ядро проникнет в толщу фиброзного кольца и деформирует
форму диска, т. е. сформируется протрузия.

Следующим этапом является постепенный разрыв волокон
фиброзного кольца и в конечном итоге его прорыв, что и называют межпозвонковой
грыжей. В результате пульпозное ядро уже выпячивается за пределы своего
физиологического положения (чаще в позвоночный канал) и способно механически
сдавливать окружающие ткани, включая спинной мозг и его нервные корешки. В
подобных ситуациях возникает ярко выраженная клиническая картина, заставляющая
практически всех больных обращаться за медицинской помощью.
Конечной стадией развития грыжи является ее секвестрация.
Секвестром называют часть пульпозного ядра, т. е. хряща, отделившуюся от
материнского диска и получившую возможность передвигаться по позвоночному
каналу. В поясничном отделе позвоночника подобная ситуация наиболее опасна,
поскольку именно тут начинается так называемый конский хвост, представляющий
собой сплетение большого числа нервов. Поэтому образование грыжи и тем более
секвестра чревато тяжелыми неврологическими осложнениями, вплоть до полного
паралича нижних конечностей.
Как предотвратить осложнения?
Первоначально боль в спине может возникнуть из-за перенапряжения мышц спины, которые пытаются центрировать излишне подвижные позвонки. Впоследствии причиной боли уже может быть само смещение позвонков, грыжевое выпячивание даже при небольшом размере. Возникают частичные, а затем и полные ограничения движений в пораженном отделе позвоночника.
Очень хорошие результаты при терапии мышечных болей, для препятствования дальнейшему образованию остеофитов и улучшения условий для восстановления мягких тканей и сухожилий дает новый метод лечения – ударно-волновая терапия (УВТ).

Локализации межпозвоночных грыж
При поражении разных отделов позвоночника развиваются определяющие симптомы, характерных именно для данного отдела. Симптомы грыжи отдельных межпозвоночных дисков также имеют свои характерные особенности.
Шейный отдел позвоночника
Грыжи верхних дисков шейного отдела (С2 – С3, С3 – С4) – явление редкое. Проявляются они приступами сильнейших головных болей и паническими атаками. Корешковый болевой синдром (при ущемлении корешков спинномозговых нервов) развиваются обычно на одной стороне шеи, распространяясь на лицо. Болезненные волны часто иррадиируют в зубы и ухо на стороне поражения. Иногда развиваются расстройства зрения и слуха.
Грыжи С4 – С5 встречаются часто, в том числе, диффузные, и проявляются корешковым болевым синдромом, продвигающимся по шее, внутренней и передней поверхности плеча. Особенно опасны секвестрированные грыжи. Характерны также онемение в этой области и мышечная слабость. Трудно повернуть голову, согнуть руку в локте. Возможно развитие парезов и параличей. Частый вид грыж позвоночника.
Грыжи С5 – С6 и С6 – С7 также встречаются часто. Для них характерны болезненность и нарушения чувствительности в шее, отдающие в заднюю и наружную поверхности плеча и распространяющиеся до пальцев кисти. Особенно болезненны медианные и парамедианные грыжи. Вегетативные проявления в виде кашля и бронхоспазмов. При поражении самого нижнего шейного диска часто нарушается функция щитовидной железы. Избавиться от таких нарушений можно только пролечив грыжу позвоночника. Как это сделать, читайте в статье про шейную межпозвоночную грыжу.
Грудной отдел позвоночника
Грыжи грудного отдела встречаются относительно редко. Основными их симптомами являются вегетативные расстройства. Возможны также корешковые боли, нарушения чувствительности и движений.
При поражении Th1 – Th2, Th2 – Th3, Th3 – Th4 появляются боли в сердце самого разного характера, иногда очень похожие на боли при стенокардии, но не снимающиеся нитроглицерином. У женщин появляются боли в грудных железах (как при мастопатии). Характерны также ноющие болевые ощущения в верхней части спины и приступы сильнейших опоясывающих болей (межреберная невралгия.
Для грыж Th5 – Th6, Th6 – Th7, Th7 – Th8 также характерны вегетативные симптомы в виде одышки, кашля, бронхоспазмов, а также опоясывающих болей, характерных для заболеваний поджелудочной железы. Корешковый синдром проявляется приступами межреберной невралгии.
Грыжи Th8 – Th9, Th9 – Th10, Th10 – Th11, Th11 – Th12 проявляются болезненными спазмами в желудке, в проекции желчных путей и желчного пузыря. Характерны ноющие боли в нижней части спины и приступы межреберной невралгии.
Подробно о симптомах и лечении межпозвоночной грыжи грудного отдела читайте тут.
Поясничный отдел позвоночника
Это самая частая локализация грыж. При грыжах поясничного отдела позвоночника максимально проявляется корешковый синдром – боли по ходу ущемленного нервного корешка.о межпозвоночной грыже поясничного отдела
- L1-L2, L2-L3 – встречаются реже остальных поясничных грыж. Симптомы: болевые волны и выпадения чувствительности по внутренней и передней поверхности бедра.
- L3-L4 — корешковый болевой синдром локализуется на передней и внутренней поверхности бедра распространяется на голень и внутреннюю лодыжку. Чувствительность в этой области может, как выпадать, так и быть слегка повышенной.
- L4-L5 — корешковые боли начинаются в области ягодицы, по наружной поверхности бедра и голени передаются на 1 – 3 пальцы ног. Возможно онемение в тех же отделах.
- L5-S1 — болевая точка начинается со средины ягодицы и идет волной по задней и наружной поверхности бедра на голень, переходит на пятку, по наружному краю стопы до 4 – 5 пальцев ног. Часто сопровождается повышенной кожной чувствительностью. При грыже L5-S1 могут появляться симптомы тазовых нарушений – расстройства функции мочеполовых органов. Чтобы избавиться от этих симптомов, иногда приходится делать операцию.
О других симптомах читайте в статье “Межпозвоночная грыжа поясничного отдела позвоночника”.
Грыжа поясничного отдела встречается чаще остальных грыж
Чем опасна поясничная грыжа позвоночника
Опасность поясничной грыжи в том, что на начальных стадиях она протекает с минимальными признаками, а затем может мгновенно проявляться сильнейшими болями и нарушениями функции различных органов.
Внимательное отношение к своему здоровью позволит своевременно обратиться к врачу и предупредить прогрессирование заболевания.
Стадии поясничной грыжи
В течении заболевания выделяют несколько стадий:
- Начальная – поясничные диски изменяются, истончаются. Симптомы: устает и побаливает поясница, мурашки по телу.
- Протрузия – растрескивание диска в поясничном отделе и смещение в сторону студенистого ядра. На этой стадии болезненность усиливается, возможно появление кратковременных корешковых болей из-за смещения диска. Больные переносят это состояние по-разному: у одних боли не слишком интенсивные и носят преходящий характер, у других – выматывающие местные и острые корешковые боли при грыже позвоночника резко снижают качество жизни.
- Разрыв поясничного диска, выпячивание студенистого ядра, сдавливание корешков нервов и спинного мозга. Появляются все характерные проявления позвоночной грыжи.
- Секвестрация – отделение от студенистого ядра отдельных сегментов (секвестров), проникновение их в позвоночный канал. Появляются симптомы раздражения и сдавливания спинного мозга: парезы, параличи, недержание кала и мочи, сексуальные нарушения.
По величине поясничные грыжи разделяют на маленькие (1 – 6 мм), средние (6 – 8 мм), большие (более 9 мм).
Возможные осложнения
Симптоматика при межпозвонковой грыжи поясничного отдела быстро нарастает
При отсутствии адекватного лечения позвоночная грыжа поясничного отдела может иметь серьезные последствия:
- внезапное появления сильнейших болей в поясничном отделе (люмбаго) или по ходу седалищного нерва (ишиас); чудовищную боль невозможно снять домашними способами;
- парезы и параличи – частичное или полное обездвиживание;
- такие неврологические симптомы, как нарушения чувствительности по типу «седловидной блокады» на внутренней поверхности бедер, промежности и нижней части ягодиц за счет сдавливания чувствительных нервных волокон; опасный симптом, сигнал о том, что заболевание зашло далеко;
- нарушения функции малого таза, половых органов мужчин и женщин при травмировании конского хвоста – пучка спинномозговых нервов, отходящих от окончания спинного мозга.
Даже при кратковременном появлении одного из этих симптомов нужно немедленно обращаться за медицинской помощью. Если этого не сделать, симптоматика будет быстро нарастать и последствия в виде осложнений не заставят себя ждать. Помочь такому больному будет нелегко.
Что делать при обострении
У некоторых больных поясничная грыжа достаточно долго протекает без выраженных симптомов. Периодически симптомы или исчезают совсем (ремиссия), или нарастают (обострение). Особенностью такого течения является то, что с каждым обострением ухудшается состояние фиброзного кольца. В один прекрасный день вместо легкого обострения может срезу наступить паралич или сильнейшая, сбивающая с ног боль.
Чтобы этого не произошло, поясничную грыжу нужно лечить регулярно под контролем врача, стараясь предупредить обострение или начинать лечить обострившееся заболевание как можно раньше.
Остеохондроз
В течение времени позвоночник подвергается ежедневным нагрузкам и незначительным травмам, что в конечном итоге приводит к износу межпозвонковых дисков и их дегенерации. Фиброзное кольцо межпозвонкового диска при нагрузках подвергается повреждению, возникают микроразрывы фиброзной ткани, и потом зона повреждения замещается рубцовой ткани, эластические свойства которой значительно хуже, чем у фиброзной ткани. Такие изменения в фиброзном кольце приводят к снижению амортизационных функций диска и большему риску повторных разрывов диска. По мере рубцевания фиброзного кольца происходит также постепенное усыхание студенистой части диска (ядра), что приводит в свою очередь к снижению высоты диска. По мере снижения высоты диска и амортизационных функций позвонки начинают больше воздействовать друг на друга при нагрузках, что ведет к образованию костных разрастаний (остеофитов). Нарушение целостности фиброзного кольца ведет к образованию грыж дисков. Грыжи дисков и остеофиты могут оказывать компрессионное воздействие на корешки или стенозу, что приводит к появлению неврологической симптоматики.
Радикулит
Это заболевание является распространенным, в группу риска входят мужчины и женщины после 40 лет. Недуг сопровождается ярко выраженными симптомами, среди них стоит выделить:
- резкие прострелы в спине, которые провоцируют переохлаждения, чрезмерные физические нагрузки;
- болезненные ощущения, имеющие “жгущий” характер;
- онемечение определенных участков тела.
Возникновение радикулита обычно связано с недолеченными недугами позвоночника (грыжа, остеохондроз и так далее). Данное заболевание возникает вследствие воспалительных процессов в органах, расположенных в непосредственной близости к пояснице (мочевой пузырь, прямая кишка, матка, яичники и так далее). Спровоцировать радикулит могут резкая смена температурного режима, курение, отравление промышленными ядами, стресс, повышенная влажность, ушибы, травмы опорно-двигательного аппарата, общее ослабление организма после ОРВИ, ангины.
Лечение суставов, лечение позвоночника по системе профессора Бубновского
Лечение позвоночника, лечение суставов при помощи кинезитерапии — это лечение движением. Недостаточная подвижность нашего образа жизни изменяет состояние глубоких мышц, приводя к их атрофии, из-за чего, в свою очередь, нарушается система питания суставов через кровоток.Важнейшей составляющей лечения по системе С.М. Бубновского при помощи кинезитерапии являются специальные лечебные упражнения, безопасные для суставов и позвоночника, которые выполняется пациентом на многофункциональных декомпрессионных и антигравитационных тренажерах Бубновского (МТБ). Сочетание специализированной гимнастики, русской бани и криопроцедур составляют основу системы профессора Бубновского.
Эффективное лечение позвоночника и лечение суставов по методу Бубновского происходит за счет включения в активную деятельность и восстановление глубоких мышц, снабжающих всем необходимым суставы и позвоночник. Сергей Михайлович доказал, что фундаментальным основанием лечения большинства проблем с суставами и позвоночником является именно активизация неработающих мышц. Неработающие мышцы со временем атрофируются, и это только затрудняет лечение суставов, лечение позвоночника.
Основным критерием выздоровления по системе профессора Бубновского является восстановление мышечной константы пациента, которая характеризуется возможностью выполнения упражнений с отягощениями (упражнений безопасных, носящих лечебный характер) без болевых ощущений.Сотням тысяч людей, пришедшим в Центры Бубновского, мы предлагаем принципиально другой подход, делающим успешным как лечение суставов, так и лечение позвоночника. Подход индивидуальный, не признающий стандартных решений, т. к. мы убеждены, что даже при аналогичных диагнозах не существует одинаковых пациентов!Пройдя лечение позвоночника или лечение суставов в «Центре доктора Бубновского» на Ходынке и «Центре доктора Бубновского» на Дм. Ульянова, Вы сможете пересилить страх перед исцеляющим движением и осознаете, что можно и нужно обходиться без лекарств, потому что они не способны возвратить Вам здоровье без Вашего старания, терпения и собственных усилий.
Клиника доктора Бубновского оснащена всем необходимым для комфортного прибывания пациентов, в вашем распоряжении уютные раздевалки, душевые кабины, гардероб. У нас есть сауна и кабинеты массажа.Только движение способно подарить Вам полноценную жизнь!
Почему не следует торопиться с удалением грыжи
До того, как лечь на операционный стол для удаления грыжи диска, всегда есть смысл попробовать вылечить заболевание без операции. Для этого существует ряд методов, которые эффективны для уменьшения грыжи в размерах. Тем более, существует около 60 видов заболеваний и состояний организма человека, при которых симптомы могут напоминать проявления грыжи диска. И если при этом на МРТ выявляют протрузию или грыжу, то нередко боль списывают на грыжу (протрузию), отказываясь замечать основную причину боли. Как правило, вопрос в диагностике и широте мышления доктора.
Читать больше почему не следует торопиться с удалением грыжи
Частые вопросы по заболеванию
Могут ли от грыжи болеть суставы?
Могут, при ущемлении крупных нервов, например, седалищного, отдающих веточки к суставам.
Может ли болеть живот от грыжи?
Может, при локализации патологии в шейном и грудном отделе позвоночника. Это связано с ущемлением вегетативных нервов, иннервирующих внутренние органы.
Почему грыжа болит ночью?
Ночью тело согревается, сосуды расширяются, ткани отекают, сдавливаются корешки нервов, что способствует усилению болезненности.
Болит грыжа при беременности – что делать?
Если заболевание было выявлено до беременности, то перед зачатием его нужно пролечить. Во время беременности поможет:
- контроль веса;
- ношение бандажа;
- занятия лечебной гимнастикой и плаванием;
- большинство обезболивающих противопоказаны, поэтому самостоятельно их принимать нельзя, но акушер-гинеколог может подобрать безопасное средство.
Боли при грыже позвоночника сигнализируют о том, что необходимо пройти обследование и назначенное врачом комплексное лечение. Только так можно приостановить разрушение позвоночника и инвалидность.
Самостоятельное лечение народными средствами может привести к тяжелым осложнениям. Но лечиться никогда не поздно, в клинике «Парамита» вам помогут в любом случае.
Литература:
- Ибатурин И.А., Тараско А.Д. Патогенетические основы действия паравертебральной новокаиновой блокады/ Казанский медицинский журнал.- 1995.- т.76, №2.- с.93-96.
- Кузьменко В.В., Фокин В.А., Соков Е.Л. и др. Психологические методы коли¬чественной оценки боли./ Советская медицина.-1986, № 10.- с. 44-48.
- Шостак Н. Боль в спине, возможности диагностики и лечения// Врач.-2005.-№5.- С.3-5.
- Braddom R.L. Physical medicine and rehabilitation. Philadelphia, 1996. 1301 p. 12.
- Sturzenegger M., Newell D.W., Douville C., Byrd S., Schoonover K. Stroke 1994, 25:. 1776-1783.

























































